Please ensure Javascript is enabled for purposes of website accessibility

New Patients Welcome!

Teeth Whitening

Teeth Whitening In St. Petersburg, FL

Tired of hiding your smile behind coffee stains and stubborn discoloration? Creating Smiles Dental offers professional teeth whitening treatments – a secret weapon to remove deep stains and boost your confidence. Our team of dentists uses advanced whitening techniques to transform your smile from uninspiring to luminous, leaving you ready for a big presentation. Schedule your consultation now and allow your self-esteem to radiate brightly.

When You Need Teeth Whitening

Do you need help determining whether teeth whitening is the right option? Here are some common signs that indicate it might be time to consider professional services:

  • Stained or Discolored Teeth: If you have noticed that your teeth have become yellow, brown, or grayish, it’s a clear indication that stains have built up over time. It can effectively remove these stains and restore the natural brightness of your smile.
  • Uneven Tooth Color: If you have uneven tooth coloration, where some teeth are noticeably darker than others, teeth whitening can create a more uniform and balanced appearance.
  • Enhance Oral Hygiene Routine: Undergoing whitening can motivate you to maintain good oral hygiene habits, as you’ll likely want to preserve the results of your treatment.
  • Professional Advancement: A confident and well-maintained appearance can make a positive impression in some professional settings. Teeth whitening can enhance your overall appearance and contribute to a polished look.
  • Lifestyle Factors: Certain lifestyle choices, such as coffee, tea, red wine, or tobacco, can contribute to teeth discoloration. If you engage in these habits, you may benefit from whitening to counteract their effects.

What To Expect From Our Teeth Whitening Service

When you schedule your whitening consultation with us, you take the first step toward a more radiant smile. Our dental professionals will carefully assess your dental history and discuss your goals and expectations. We will explain the process, address any questions or concerns you may have, and create a customized treatment plan tailored to your needs.

During the consultation, we will discuss the options available, including in-office treatments and at-home kits. Our dental staff will guide you through the benefits of each option, helping you make an informed decision that aligns with your preferences and lifestyle.

Teeth Whitening Q&A

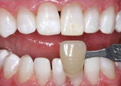
kor Teeth Whitening kit

If your teeth are dull, discolored, or slightly yellow from years of colorful beverages, smoking, or medications, teeth whitening may be the perfect solution to improve your teeth’s appearance. Good oral hygiene and in-office cleanings from the team at Creating Smiles Dental can leave your teeth bright and sparkling, but if you’re looking to take your smile to the next level, you may be interested in the benefits that professional teeth whitening has to offer.

Creating Smiles Dental offers a few options for teeth whitening, including Kor® whitening in-office and at-home whitening trays. Your dentist at Creating Smiles Dental performs a comprehensive evaluation of your teeth and oral health to determine to what extent you can benefit from whitening treatments.

Creating Smiles Dental offers effective solutions for teeth whitening, including in-office and at-home solutions. One of the most popular choices is the Kor® whitening system:

The Kor whitening system

The Kor whitening system provides superior results for even the most stubbornly discolored teeth. Kor whitening is easy to use. Before coming in for your whitening appointment, you’ll have impressions of your teeth taken for your custom-made whitening trays. When you come back to Creating Smiles Dental, the whitening gel is added and the trays will comfortably seal around your gums.

Kor tackles deep stains with a non-irritating formula, and the KoR-Seal™ Tray helps protect the whitening gel from saliva and other contaminants that could weaken its formula. The bleaching agents in the formula work their magic to break down pigments and stain molecules. Kor is helpful in rejuvenating and restoring teeth and allowing them to better absorb the whitening formula. There’s no need for any special lights, lasers, or gimmicks.

At-home whitening

Creating Smiles Dental also gives you the option of whitening your teeth from the comfort of your home. You’ll first be fitted with trays customized to your mouth that you can take home with you. At home, you apply a thin ribbon of the gel into the tray and wear it while you sleep. In the morning, you brush normally.

Most whitening occurs in 1-2 weeks, but for stubborn discoloration, you may need to wear the trays for up to six weeks. The Creating Smiles Dental team ensures each patient gets a customized treatment plan that best suits their needs.

The results of whitening are highly variable, but professional teeth whitening yields whiter, brighter results than store-bought methods and can generally last up to two years before you need a touch-up whitening session. Plus, with the Kor system, you don’t have to worry about avoiding beverages like coffee and tea that tend to stain your teeth with the profound effects that professional whitening can offer.

Restore your radiant smile. Call Creating Smiles Dental or use the online tool below to schedule a teeth whitening consultation.

KöR Teeth Whitening is a state-of-the-art teeth whitening system that uses a Dual-Activated, Tri-Barrel Hydremide Peroxide formulation that can brighten your teeth by multiple shades. With the KöR Teeth Whitening system, there is no use of lights or lasers… you’ll simply get your trays and wear them as directed!

We are often asked why patients should get professional teeth whitening done at a dentist’s office instead of using over-the-counter teeth whitening trays. While there are many great answers, the biggest one is that you simply cannot buy the same quality teeth whitening products or get the same outstanding results at home than in a professional setting. However… there’s a catch! Here are Creating Smiles Dental, we use the KöR Teeth Whitening system, which can be used in our office or at home, letting you get back to your daily life with a brighter, whiter smile!

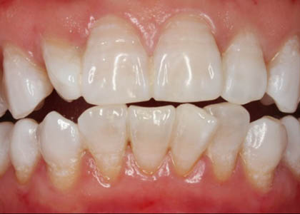
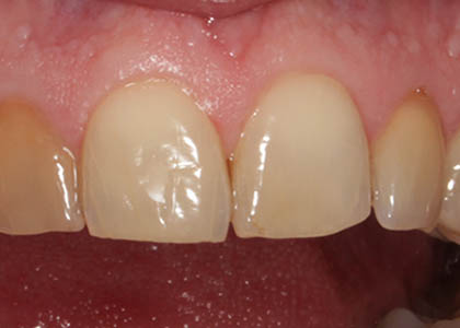
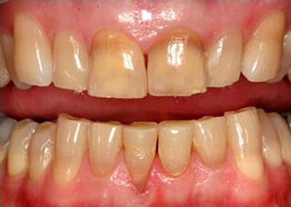
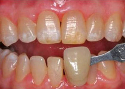
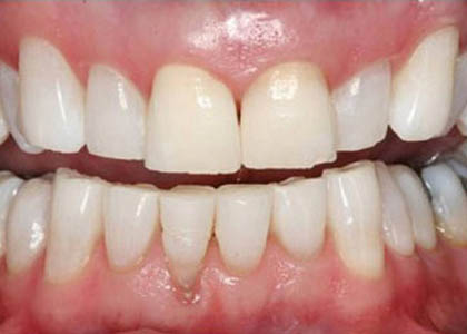
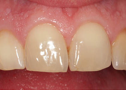
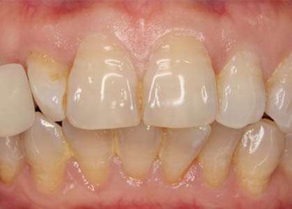
Teeth Whitening Results Before and After

Before After
Before After
Before After
Before After
Before After
Before After

Book Your Teeth Whitening Appointment Today!

Ready to unveil your brighter, more confident smile? It’s time to take the next step and book your teeth whitening appointment. Our dedicated team is committed to providing effective and high quality teeth whitening treatment, helping you achieve the smile you’ve always dreamed of.

Don’t let stained or discolored teeth hold you back any longer. If you’re in or near St. Petersburg, Fl, contact us today to schedule your teeth whitening consultation and start your journey toward a dazzling, rejuvenated smile and find a more confident you.

Meet Some Of Our Amazing Patients

Creating Smiles Dental always appreciates feedback from our valued patients. Listen to some of our testimonials below!

Man smiling at camera in front of brick wall with "I love coming here" text overlay at Creating Smiles Dental
Bearded man speaking to camera with quote "We refer as many people as we can" displayed.
Man in blue shirt smiling at camera with quote text overlay against brick wall background.
Person smiling indoors with text "I don't dread going to the dentist" overlaid on brick wall background.
Woman in striped shirt with hair bun against white brick wall with dental practice logo, testimonial quote displayed.
Man wearing cap speaking about phenomenal staff against white brick wall backdrop.

Our Dental Office Location

Serving a complete dental solution to the communities of St. Petersburg and surrounding areas! Contact us to make your appointment at our office location.

St. Petersburg Office

Teledentistry Now Available

Your Dental Experience Just Got Even Better!
Real Patient Reviews

Dr Brayer and her staff are the best in the Bay. Scratch that, Best in the world, seriously too! Most gentle hands, like a magician. Fillings, crowns, the whole nine yards, they are perfect! If you’re looking for a Dentist, google one. If you’re looking for a family to be there for you, ones with compassion, empathy and professionalism, Creating Smiles in Petersburg is who you’re looking for. Call Dana and she’ll welcome you warmly. Stella and Jess are the best there too. Sorry to sound like a Love Fest review, but that’s how you feel when you’re with them. 10 Thumbs up and 5 Stars for Creating Smiles!

- James Rietz

Very attentive toward my needs. Always makes you feel comfortable. Dr. Brayer has amazing staff with her office.

Linda C.

I just left the office with a new crown placement. I am delighted. The staff and Dr. Phane are wonderful to work with.

Jean W.

This place and these people deserve a rating that is off the charts. 5 stars does not do them justice.

Morgan S.

The hygienist was personable, worked on my teeth with care, and Dr. Brayer was very thorough.

Tabitha P.