Please ensure Javascript is enabled for purposes of website accessibility

New Patients Welcome!

Fillings

Restore Your Teeth With Dental Fillings

Dental fillings in st. petersburg are primarily used to treat cavities caused by tooth decay. The tooth’s decayed portion is removed and filled with a durable material, such as composite resin or amalgam. It restores the tooth’s structural integrity and prevents the progression of decay. At Creating Smiles Dental, we are dedicated to helping you regain your confident smile and optimal oral health through our advanced dental filling services. Under the guidance of Cindy Brayer, DMD, PA, and Phong Phane, DMD, we aim to restore your oral health for a better future!

Over a quarter of adults in the United States suffer from untreated tooth decay. If left untreated, this condition can deteriorate, potentially resulting in the loss of teeth or the development of severe gum disease. Operating in St. Petersburg, FL, the dental professionals at Creating Smiles Dental provide cosmetic fillings to address decay and improve smiles.

Fillings Q&A

Cosmetic fillings are used to restore teeth affected by decay or other damage. They’re tooth-colored and enhance your smile while also combatting the effects of decay that can lead to tooth loss. 

There are different materials used to produce cosmetic fillings, including composite resin, amalgam, or ceramic. Fillings are sturdy, durable, and function like healthy, natural teeth. Besides treating decay, they can also be used to reshape, resize, or recolor teeth affected by: 

  • Chips 
  • Cracks
  • Spacing issues (gaps)
  • Discoloration
  • Misalignment (make teeth appear straighter)

Your dentist at Creating Smiles Dental can help you decide on the best, most cost-effective cosmetic filling option for you, depending on the specifics of your condition. 

A variety of factors can lead to tooth decay, including poor oral hygiene, a high-sugar diet, disease, or injury. If decay isn’t treated, you can lose your tooth or the issue can worsen, affect other structures — such as your gums — or harm surrounding teeth.

Cosmetic fillings address decay and other cosmetic issues while providing you with a bright, new smile. Without fillings, oral health problems can worsen and even threaten your overall health. Tooth decay and gum disease are linked to serious health conditions, including heart disease and stroke.

First, your dentist at Creating Smiles Dental first uses special instruments to carefully remove any tooth decay. Then they clean your tooth and apply a special primer to open pores in the enamel — the outermost layer of your tooth — and dentin — the layer beneath. Afterward, a bonding agent is used to place the filling material over the tooth.

Your dentist shapes the cosmetic filling material to deliver a new, improved tooth that resembles your natural tooth. Using a curing light, the filling material is hardened in place. Together, you and your dentist run a few tests to make sure the new appliance is comfortable and fits snugly.

Once you and your dentist are comfortable with the fit and look, you move on to polishing the filling material and completing the procedure. Your dentist will schedule a follow-up appointment in the coming weeks to monitor your progress.

The longevity of your cosmetic filling largely depends on you and how well you care for it. As long as you brush and floss regularly, limit your sugar intake, and maintain visits to the office for checkups, your fillings should last at least 10-15 years, if not more. 

Your regular visits to Creating Smiles Dental will help you track wear and tear on your fillings or get the necessary work done to repair or replace your filling when the time comes. 

To find out more about cosmetic filling options, call Creating Smiles Dental today or schedule an appointment online.

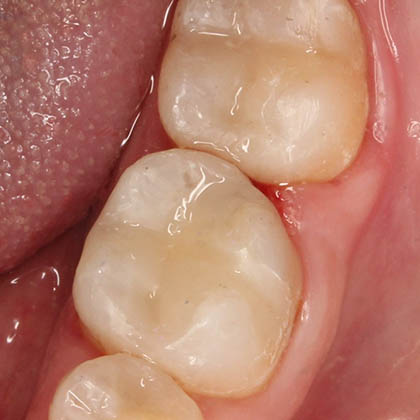
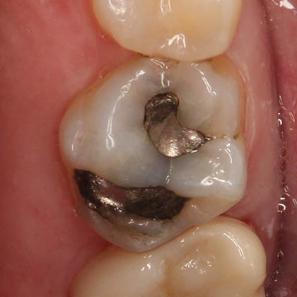
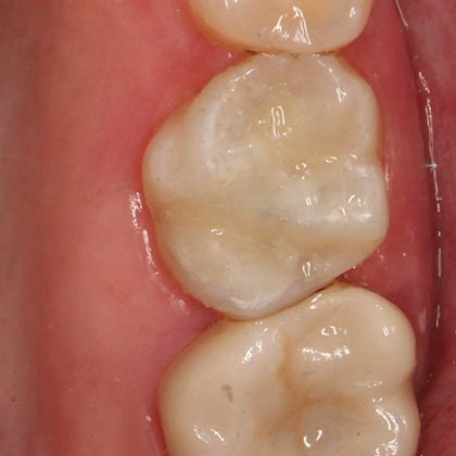
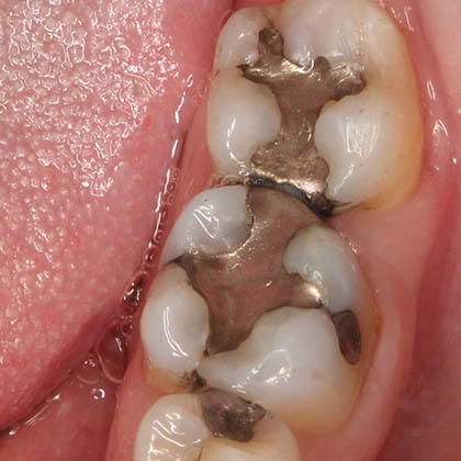
Fillings Before and After

Before After
Before After
Before After
Before After

Schedule An Appointment With Our Dentists In St. Petersburg, FL, Today!

If you’re seeking reliable and effective dental fillings in St. Petersburg, FL, look no further than Creating Smiles Dental. Our dedicated team is passionate about helping you achieve optimal oral health and a confident smile. Our advanced techniques and personalized approach ensure that your dental filling experience is comfortable and stress-free.
Don’t let dental issues hold you back from enjoying life to the fullest.

Contact us today to schedule an appointment with our experienced dentists and take the first step toward restoring your teeth and creating a beautiful, healthy smile that you’ll be proud to share with the world.

Meet Some Of Our Amazing Patients

Creating Smiles Dental always appreciates feedback from our valued patients. Listen to some of our testimonials below!

Man smiling at camera in front of brick wall with "I love coming here" text overlay at Creating Smiles Dental
Bearded man speaking to camera with quote "We refer as many people as we can" displayed.
Man in blue shirt smiling at camera with quote text overlay against brick wall background.
Person smiling indoors with text "I don't dread going to the dentist" overlaid on brick wall background.
Woman in striped shirt with hair bun against white brick wall with dental practice logo, testimonial quote displayed.
Man wearing cap speaking about phenomenal staff against white brick wall backdrop.

Our Dental Office Location

Serving a complete dental solution to the communities of St. Petersburg and surrounding areas! Contact us to make your appointment at our office location.

St. Petersburg Office

Teledentistry Now Available

Your Dental Experience Just Got Even Better!