Non-Invasive Dentistry In St. Petersburg, FL
Non-invasive dentistry is an innovative, advanced dental restorative procedure that protects teeth and gums without painful shots. At Creating Smiles Dental, we want your dental experience to be comfortable and painless. Our dentists, Dr. Cindy Brayer and Dr. Phong Phane, restore broken, chipped, and misaligned teeth with no drills, needles, or anesthesia.
Conventional veneers or tooth replacements often require shaving of natural teeth, potentially damaging the pulp and gums. With the introduction of non-invasive solutions, patients will no longer feel pain, discomfort or sensitivity associated with traditional dental treatments. Recent advancements in no-drill dental procedures include several breakthroughs in structural and cosmetic restoration that significantly enhance smile appearance while protecting and preserving teeth. Discover how our non-invasive services can redefine your dental experience in St. Petersburg, FL —reach out to explore your options today!
What Non-Invasive Dentistry Can Prevent?
Advancements in non-invasive dental procedures not only enhance the appearance of your smile but also focus on preserving and strengthening natural teeth, all without removing tooth structure.
- Cavities and Tooth Decay: Cavities are areas or holes of tooth decay on your tooth surface. They are caused by plaque buildup, eating sugary food, and poor oral hygiene. Non-invasive treatment like tooth filling can prevent cavities if identified at an early stage.
- Minor Gaps in Between Teeth: Gaps or Diastemas can occur anywhere in the mouth but are most common between the front teeth. This condition is usually a cosmetic concern that can be fixed with composite fillings, braces, or non-prep veneers.
- Open Bite, Underbite, Or Misaligned Teeth: These dental problems occur when the upper and lower teeth do not align when you close your mouth. If left untreated, they can cause tooth erosion, gum disease, or other dental health issues. Our dentists usually treat teeth misalignment with braces and Invisalign.
- Chipped or Broken Teeth: A chipped or broken tooth happens when a fragment of your tooth’s enamel breaks off. Trauma to your mouth or biting something hard are potential causes. You might need a non-invasive cosmetic procedure to restore your smile.
- Teeth Discoloration: Tooth staining or discoloration resulting from dietary habits, smoking, or aging can cause teeth to appear yellowish. Genetics and prolonged dental issues can also stain teeth. Professional whitening methods can be effective in restoring a radiant smile.
Our Non-Invasive Procedures
Invisalign: Achieve a confident, well-aligned smile with advanced orthodontic solutions like Invisalign and braces. Our modern dental retainers are designed to maintain proper alignment and restore your teeth to their optimal position.
No Preparation Veneers: Non-prep veneers enhance your smile by addressing discoloration, chips, gaps, and minor misalignments. They provide seamless, natural-looking results without extensive tooth preparation.
Composite Filling: A dental composite filling is a biocompatible tooth-colored resin specifically made to restore decayed or damaged teeth. Our dentist utilizes composite materials that guarantee functionality, durability, and a natural appearance.
Teeth Whitening: Professional teeth whitening uses advanced techniques to remove stubborn stains and discoloration. Our customized treatments safely brighten enamel, reduce sensitivity, and restore your beautiful smile with long-lasting results.
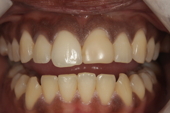
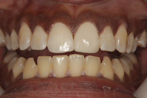
Smile Gallery

Before

After

Before

After

Before

After

Before

After

Before

After
Non-Invasive Dentistry FAQs
Non-invasive dentistry generally prioritizes preserving natural tooth structure by using non-surgical techniques to treat oral issues. On the other hand, traditional dental treatments often involve more aggressive methods like tooth extraction and root canal therapy. The former mainly focuses on tooth preservation, which results in a healthy, radiant smile.
Yes, non-invasive procedures are more effective than traditional ones. They treat dental problems like cavities and decay at an early stage, help restore natural tooth structure, and provide aesthetic improvements with minimal discomfort and recovery time. However, conventional dental procedures are needed for critical oral issues.
The problems that are solved with non-invasive methods like-
- Teeth stains
- Minor cracks, chips, and alignment of teeth
- Tooth decay and cavities
- Minor gaps between teeth
- Chipped or broken teeth
Non-invasive dental treatments use materials like fluoride, sealants, and composite resins. Techniques include lasers, invisalign, no-prep veneers, fillings, and professional whitening. All these methods focus on protecting natural tooth structure, strengthening enamel, and improving overall aesthetics.
Non-invasive dentistry helps reduce dental anxiety by minimizing discomfort and requiring no drills or injections. Techniques like laser treatment, fluoride applications, and invisalign are gentle on teeth, making the experience hassle-free. Shorter procedures and faster recovery times also contribute to a relaxed visit.
Yes, noninvasive dental procedures can prevent the need for major dental work by identifying issues at an early stage. Sealants, fluoride, and composite fillings prevent cavities, strengthen the enamel, and protect teeth from further decay. Early intervention helps prevent root canals, extractions, and complex dental surgeries, providing a secure dental future.
Schedule Your Consultation Today
Experience comfortable and painless dental care with our no-drill dentistry. This innovative technique helps preserve natural tooth structure while reducing stains, minor cracks, and imperfections. Our non-surgical approach guarantees maximum comfort without the need for anesthesia or drilling. Utilizing cutting-edge technology, we offer precise and conservative treatments that enhance your smile while ensuring long-term oral health. If you seek a non-invasive way to achieve a brighter and flawless smile, call us to schedule your consultation at our dental clinic in St. Petersburg, FL today!
Meet Some Of Our Amazing Patients
Creating Smiles Dental always appreciates feedback from our valued patients. Listen to some of our testimonials below!
Our Dental Office Location
Serving a complete dental solution to the communities of St. Petersburg and surrounding areas! Contact us to make your appointment at our office location.
St. Petersburg Office
" " indicates required fields