Please ensure Javascript is enabled for purposes of website accessibility

New Patients Welcome!

Invisalign

Straighten Your Smile With Invisalign in St. Petersburg, FL

Dreaming of a perfect natural looking smile? Invisalign clear aligners offer a comfortable, discreet way to straighten your teeth and create that perfect smile. Creating Smiles Dental is proudly transforming smiles to a natural one with Invisalign treatment in St. Petersburg. Our dentists will consult with you to create a personalized treatment plan that caters to your unique needs for smile and aesthetic desires. Forget the traditional braces and experience the confidence of a straighter smile with us.

While misaligned teeth can decrease self-confidence, it’s important to recognize that an uneven smile can also impact your oral well-being. Dr. Cindy Brayer, Dr. Phong Phane, and Dr. Anna Shoopak of Creating Smiles Dental are fully aware of the significance of aesthetics and health in pursuing radiant smiles.

What to Expect from Our Invisalign Consultation

Your journey for a straighter, natural smile with Invisalign in St. Petersburg begins with a consultation with us at Creating Smiles Dental. During this session, our dental professional will:

  • Assess Your Needs: We’ll first conduct a thorough examination of your teeth conditions and alignment to determine if you need an Invisible aligner. During this period you may ask your concerns about the treatment.
  • Creating a Personalized Plan: Based on our assessment, we’ll create a customized treatment plan for you according to your needs. This plan will have the details such as step-by-step process, timeline, and the outcome.
  • Discuss Costs and Financing: We believe a beautiful smile should be attainable for everyone. Our team will provide transparent information about the cost of Invisalign and discuss financing options that suit your budget.

Invisalign Q&A

Creating Smiles Dental - Invisalign Gold+ Provider - Clearwater & St. Petersburg FL

The Invisalign system uses clear aligners made from a specially developed thermoplastic material. These custom-made aligners are designed to slip over your teeth and essentially “disappear” once in place. Invisalign moves your teeth into alignment in a staged sequence that’s determined by your dentist.

If you’ve been told you aren’t a candidate for Invisalign, visit Creating Smiles Dental for a second opinion. They believe virtually everyone is a candidate, can work with you on a solution that fits your needs.

During the process of Invisalign treatment, first you’ll have an impression of your teeth taken so your aligners are shaped specifically for your mouth. Creating Smiles Dental uses the advanced digital technology of the iTero Element® 3D Scanner, which takes a detailed impression of your teeth and gums from which your aligners will be based on.

Each set of aligners uses controlled force to gradually shift your teeth from their current position and into appropriate alignment. You can expect to switch aligners about every two weeks, continuing the process until your teeth have reached the desired goal.

Your dentist discusses expectations with you before you begin treatment. It’s generally recommended for optimal results that you wear your Invisalign for 20-22 hours a day.

The length of the process generally depends on your age and the severity of your case. It varies for teens, but adults can generally expect treatment to take about 5 months. Most patients will come back every 4-6 weeks for a new set of aligners for the duration of their treatment.

Invisalign has many advantages over traditional metal braces.

Discreet
Because they’re virtually invisible, no one may even notice you’re wearing the aligners.

Removable
Unlike the restrictions of metal braces, you can always remove your aligners for daily brushing, flossing, and whenever you’re eating and drinking. And because Invisalign aligners don’t require the metal and wire adjustments necessary for traditional braces, you can also expect to spend less time on dental visits.

Improve Oral Health
Straightening your teeth with Invisalign can also help your overall oral health since dental issues like crowded or misaligned teeth can leave your gums more susceptible to the build of plaque and bacteria.

To learn more about whether Invisalign is right for you, call Creating Smiles Dental today for an appointment or request one online.

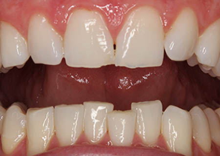
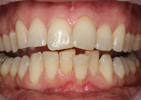
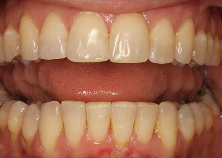
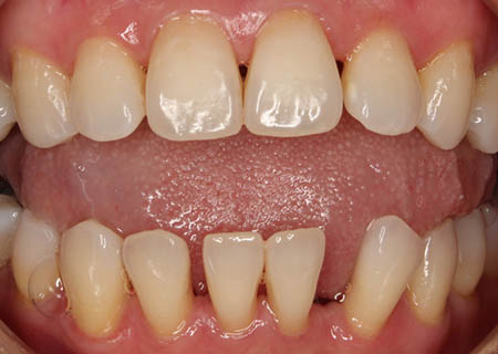
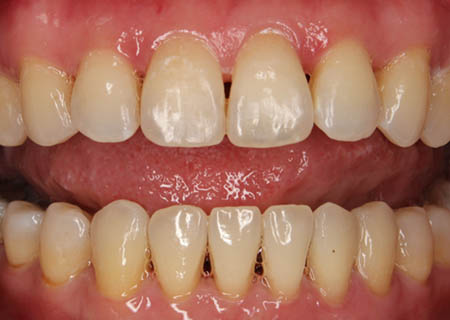
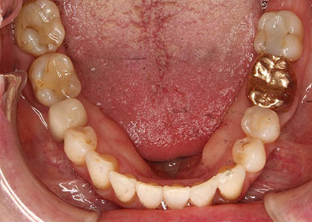
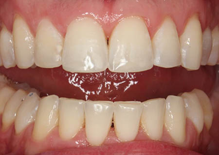
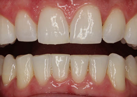
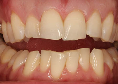
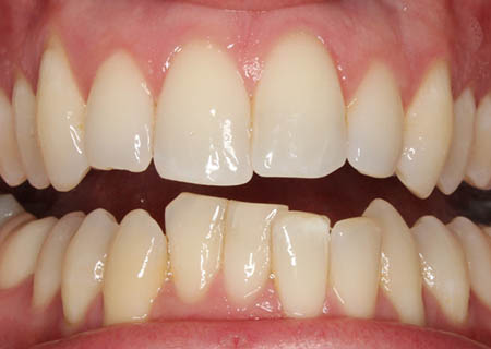
Invisalign Before and After

Before After
Before After
Before After
Before After
Before After
Before After

Book Your Appointment For Invisalign in St. Petersburg With Us

Ready to embark on your journey to a stunning smile? Book your consultation for Invisalign with us. Our team of dental professionals at Creating Smiles Dental is committed to helping you achieve the smile you’ve always wanted .

Say goodbye to traditional braces and hello to a seamless smile transformation. Contact us today to schedule your consultation and take the first step towards a more confident you with Invisalign in St. Petersburg, FL.

Meet Some Of Our Amazing Patients

Creating Smiles Dental always appreciates feedback from our valued patients. Listen to some of our testimonials below!

Man smiling at camera in front of brick wall with "I love coming here" text overlay at Creating Smiles Dental
Bearded man speaking to camera with quote "We refer as many people as we can" displayed.
Man in blue shirt smiling at camera with quote text overlay against brick wall background.
Person smiling indoors with text "I don't dread going to the dentist" overlaid on brick wall background.
Woman in striped shirt with hair bun against white brick wall with dental practice logo, testimonial quote displayed.
Man wearing cap speaking about phenomenal staff against white brick wall backdrop.

Our Dental Office Location

Serving a complete dental solution to the communities of St. Petersburg and surrounding areas! Contact us to make your appointment at our office location.

St. Petersburg Office

Teledentistry Now Available

Your Dental Experience Just Got Even Better!
Real Patient Reviews

Dr Brayer and her staff are the best in the Bay. Scratch that, Best in the world, seriously too! Most gentle hands, like a magician. Fillings, crowns, the whole nine yards, they are perfect! If you’re looking for a Dentist, google one. If you’re looking for a family to be there for you, ones with compassion, empathy and professionalism, Creating Smiles in Petersburg is who you’re looking for. Call Dana and she’ll welcome you warmly. Stella and Jess are the best there too. Sorry to sound like a Love Fest review, but that’s how you feel when you’re with them. 10 Thumbs up and 5 Stars for Creating Smiles!

- James Rietz

Very attentive toward my needs. Always makes you feel comfortable. Dr. Brayer has amazing staff with her office.

Linda C.

I just left the office with a new crown placement. I am delighted. The staff and Dr. Phane are wonderful to work with.

Jean W.

This place and these people deserve a rating that is off the charts. 5 stars does not do them justice.

Morgan S.

The hygienist was personable, worked on my teeth with care, and Dr. Brayer was very thorough.

Tabitha P.